ポプラ日記
- トップページ
- ポプラ日記
もうすぐ春ですね〜
- ブログ
2025年03月03日(月)
こんにちは
みなさまいかがお過ごしでしょうか?
ポプラ動物病院は日々みなさまの大切なご家族の助けができることに喜びを感じながらスタッフ一同成長しております!
早いものでもう3月・・
来月からは狂犬病、フィラリア、マダニ対策の季節が到来しますね
当院スタッフも徐々に増え、よりスムーズな診察ができるよう体制を整えています!
今月末にはみなさまに春のDMをお送りいたしますので届きましたら目を通していただけると幸いです
ではまた!
みなさまいかがお過ごしでしょうか?
ポプラ動物病院は日々みなさまの大切なご家族の助けができることに喜びを感じながらスタッフ一同成長しております!
早いものでもう3月・・
来月からは狂犬病、フィラリア、マダニ対策の季節が到来しますね
当院スタッフも徐々に増え、よりスムーズな診察ができるよう体制を整えています!
今月末にはみなさまに春のDMをお送りいたしますので届きましたら目を通していただけると幸いです
ではまた!
9月からイオンモール発寒の営業時間が変わります!
- ブログ
2024年07月25日(木)
イオンモール発寒は2024年9月から営業時間が変更になります(10時開店になります)
当院は変わらず9時から診察を行うことが可能ですのでご安心ください!
ただし、下記の点に注意が必要です
①入り口は当院入り口の風除室1箇所のみになります
②10時まではイオン店内に入れません
③駐車場は当院専用駐車場からアクセスが可能です(イオンの駐車場からは来院できません)
④9時から10時までは予約優先時間帯となります
以上の点をご注意の上ご来院くださいますようお願いいたします
当院は変わらず9時から診察を行うことが可能ですのでご安心ください!
ただし、下記の点に注意が必要です
①入り口は当院入り口の風除室1箇所のみになります
②10時まではイオン店内に入れません
③駐車場は当院専用駐車場からアクセスが可能です(イオンの駐車場からは来院できません)
④9時から10時までは予約優先時間帯となります
以上の点をご注意の上ご来院くださいますようお願いいたします
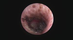
耳内のボコボコをレーザーで治療
- ブログ
2024年04月24日(水)
こんにちは耳科診察室です!
今回アップした動画は慢性外耳炎の中でも管理が困難な「耳垢腺過形成」による症例への治療動画になります
このような症例は管理が困難なため「全耳道切除」が一般的ですが、耳を摘出する手術は侵襲性が高いためなるべく避けたいところです。顔面神経麻痺などの副作用が懸念されます。
当院では内視鏡レーザー治療による緩和処置をすることで点耳薬による症状の改善を期待することができます
このような症例は案外多いため、一度精査を行い適切なケアをしてあげることがおすすめされます
下記にリンクを添付します
https://youtu.be/QCrqCyBEkH4?si=z1p49tVkWylZOb73
半導体レーザーによる耳垢腺腫の治療
今回アップした動画は慢性外耳炎の中でも管理が困難な「耳垢腺過形成」による症例への治療動画になります
このような症例は管理が困難なため「全耳道切除」が一般的ですが、耳を摘出する手術は侵襲性が高いためなるべく避けたいところです。顔面神経麻痺などの副作用が懸念されます。
当院では内視鏡レーザー治療による緩和処置をすることで点耳薬による症状の改善を期待することができます
このような症例は案外多いため、一度精査を行い適切なケアをしてあげることがおすすめされます
下記にリンクを添付します
https://youtu.be/QCrqCyBEkH4?si=z1p49tVkWylZOb73
半導体レーザーによる耳垢腺腫の治療
耳内の「ゴミ」を除去しましょう!
- ブログ
2024年02月02日(金)
こんにちは
今日は「外耳炎」についてお話しします
一言で外耳炎と言っても・・原因は様々・・ですよね。
繰り返す外耳炎で意外と知られていない原因に「ゴミの蓄積」があります。
ゴミと言っても成分は細菌、脂、汗、毛、炎症細胞・・などなどが混じって形成されています。
そのゴミが鼓膜付近に蓄積していると、点耳薬や洗浄(一般的は)は効果を十分に発揮できません。
まずはこの汚れをしっかり除去することが重要ですね。

この除去はやはり大変です・・鼓膜があるのと、耳の道が狭いこと(晴れている場合も多い)、動くのでそもそも無理・・
道内では珍しい耳道内視鏡治療を積極的に行っています(麻酔下で初めに除去することでその後のケアが楽になるので他施設で行っていない施術を当院では取り入れています)
これがなかなか技術が必要ですが、処置後の経過が良いことがモチベーションになります!
この耳道内視鏡はあまり知られていませんが、お困りの症状にあった処置ができますので今後もアナウンスしていきます!
道内遠方の方も来院されますので、遠くの方でお困りの症状がございましたらまずはご連絡くださいませ。
今日は「外耳炎」についてお話しします
一言で外耳炎と言っても・・原因は様々・・ですよね。
繰り返す外耳炎で意外と知られていない原因に「ゴミの蓄積」があります。
ゴミと言っても成分は細菌、脂、汗、毛、炎症細胞・・などなどが混じって形成されています。
そのゴミが鼓膜付近に蓄積していると、点耳薬や洗浄(一般的は)は効果を十分に発揮できません。
まずはこの汚れをしっかり除去することが重要ですね。

この除去はやはり大変です・・鼓膜があるのと、耳の道が狭いこと(晴れている場合も多い)、動くのでそもそも無理・・
道内では珍しい耳道内視鏡治療を積極的に行っています(麻酔下で初めに除去することでその後のケアが楽になるので他施設で行っていない施術を当院では取り入れています)
これがなかなか技術が必要ですが、処置後の経過が良いことがモチベーションになります!
この耳道内視鏡はあまり知られていませんが、お困りの症状にあった処置ができますので今後もアナウンスしていきます!
道内遠方の方も来院されますので、遠くの方でお困りの症状がございましたらまずはご連絡くださいませ。