ポプラ日記
- トップページ
- ポプラ日記
当院のYouTubeチャンネルご紹介
- ブログ
2023年11月04日(土)
こんにちは!
当院は一般診察以外に「皮膚科」「耳科」でセカンドオピニオンを受け付けています。
より、診察内容や当院でできることをお伝えするのにYouTubeを利用してみました。
当院のチャンネルはこちらです
ポプラ動物病院「皮膚科」「耳科」
皮膚科や耳科でお困りの方がいらっしゃいましたらお気軽にご相談くださいませ
当院は一般診察以外に「皮膚科」「耳科」でセカンドオピニオンを受け付けています。
より、診察内容や当院でできることをお伝えするのにYouTubeを利用してみました。
当院のチャンネルはこちらです
ポプラ動物病院「皮膚科」「耳科」
皮膚科や耳科でお困りの方がいらっしゃいましたらお気軽にご相談くださいませ
猫のポリープ(中耳炎)→YouTube動画あり
- ブログ
2023年09月01日(金)
こんにちはポプラ動物病院です。
YouTubeを開設しました!
とは言いましても、内容は楽しいものというよりは当院で行なっている治療、特に皮膚科と耳科の治療についてのご紹介動画になっています。
限定公開になりますので下記のリンクをクリックしてみてください。
初めは猫の中耳炎になります↓
https://youtu.be/W0CV6AxZG2I
今後もさまざまな内容をアップしていきますので興味ある項目をご確認ください。
YouTubeを開設しました!
とは言いましても、内容は楽しいものというよりは当院で行なっている治療、特に皮膚科と耳科の治療についてのご紹介動画になっています。
限定公開になりますので下記のリンクをクリックしてみてください。
初めは猫の中耳炎になります↓
https://youtu.be/W0CV6AxZG2I
今後もさまざまな内容をアップしていきますので興味ある項目をご確認ください。
左右の耳で病状が異なることがあるんです
- ブログ
2023年06月21日(水)
こんにちは、今回も耳のお話し・・。
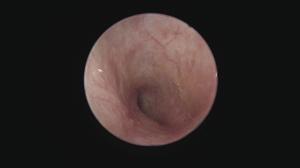
正常な耳内はこのように綺麗です

上記の写真は正常な耳道の写真です↑
点耳薬は左右で異なるものを使用しなければいけない場合があります
こちらは同一症例の右耳

ちょっと写真がボケてますが・・
カサカサした耳垢が全体的に充満していますね。
左耳

ドロッとした耳垢ですね・・。
両耳の細胞診をしてみると構成されている菌バランスや検出される菌の種類が異なります。
なので・・・
点耳薬の種類を右と左で使い分けしなければいけません(ちょっと面倒ですが・・)
このように、左右で匂いや耳垢の性状が異なる場合は注意が必要です。
当院では、細胞診を行い適切な抗菌薬の使用や消炎剤の選択をおこなっています。
地味に・・点耳薬の選択は症状改善の大事な要素になりますので治りにくい場合は再確認してみましょう!
ではまた
正常な耳内はこのように綺麗です

上記の写真は正常な耳道の写真です↑
点耳薬は左右で異なるものを使用しなければいけない場合があります
こちらは同一症例の右耳

ちょっと写真がボケてますが・・
カサカサした耳垢が全体的に充満していますね。
左耳

ドロッとした耳垢ですね・・。
両耳の細胞診をしてみると構成されている菌バランスや検出される菌の種類が異なります。
なので・・・
点耳薬の種類を右と左で使い分けしなければいけません(ちょっと面倒ですが・・)
このように、左右で匂いや耳垢の性状が異なる場合は注意が必要です。
当院では、細胞診を行い適切な抗菌薬の使用や消炎剤の選択をおこなっています。
地味に・・点耳薬の選択は症状改善の大事な要素になりますので治りにくい場合は再確認してみましょう!
ではまた
耳道内洗浄は歯石除去と似ている
- ブログ
2023年05月24日(水)
こんにちは
今回は耳道内視鏡(VOS)について少しお話ししますね。
耳の中はとても狭い空間で、特にワンちゃん猫ちゃんの耳はL字に途中で曲がっているために鼓膜まで観察することが意外と困難なのです。
耳内のトラブルが繰り返し起きる場合、鼓膜付近は大体汚れが詰まっております・・。
これは、通常の耳洗浄や綿棒などではとても対処できません。というか綿棒を奥に入れると耳垢を押し込む、炎症が悪化するリスクにつながります。
そこで、耳道内視鏡の出番になります。

このような細かい鉗子やガイドで、個々に適切な器具を使用し鼓膜付近の汚れや異物を除去します。

鼓膜付近の耳垢塊です。通常の洗浄や点耳薬では除去できないため、外耳炎が治りにくい状況になります。
このような場合、耳内視鏡による摘出と鼓膜付近の丁寧な汚れの除去が必要です。
歯で例えると歯石除去に近い感覚です。
歯石は見える、匂いがするなどわかりやすいので飼い主さんが気にしますが、鼓膜はなかなか見えないので放置状態になっていることが多く見受けられます。
歯石除去は大体の動物病院で対応してくれますが、耳道内内視鏡による作業ができる動物病院は北海道でも数少ないため当院ではなるべく遠方の方にも対応できるようアナウンスしている次第です。(機器を導入している病院自体が少ないです)
また、細かい作業のため経験がかなり必要になります
歯石除去同様に麻酔が必要ではありますが、耳道内の洗浄を行うことで下記の効果が期待できます
・点耳薬が奥まで届く
・壁の滑り(バイオフィルム)が除去できる
・鼓膜の機能が回復する
・異物や腫瘤がある場合、除去可能(レーザー併用)
・中耳内の確認ができる
特に左右差がある外耳炎の場合、悪い方に何らかの原因が隠れている可能性が高いので、気になる方はご相談ください。
今回は耳道内視鏡(VOS)について少しお話ししますね。
耳の中はとても狭い空間で、特にワンちゃん猫ちゃんの耳はL字に途中で曲がっているために鼓膜まで観察することが意外と困難なのです。
耳内のトラブルが繰り返し起きる場合、鼓膜付近は大体汚れが詰まっております・・。
これは、通常の耳洗浄や綿棒などではとても対処できません。というか綿棒を奥に入れると耳垢を押し込む、炎症が悪化するリスクにつながります。
そこで、耳道内視鏡の出番になります。

このような細かい鉗子やガイドで、個々に適切な器具を使用し鼓膜付近の汚れや異物を除去します。

鼓膜付近の耳垢塊です。通常の洗浄や点耳薬では除去できないため、外耳炎が治りにくい状況になります。
このような場合、耳内視鏡による摘出と鼓膜付近の丁寧な汚れの除去が必要です。
歯で例えると歯石除去に近い感覚です。
歯石は見える、匂いがするなどわかりやすいので飼い主さんが気にしますが、鼓膜はなかなか見えないので放置状態になっていることが多く見受けられます。
歯石除去は大体の動物病院で対応してくれますが、耳道内内視鏡による作業ができる動物病院は北海道でも数少ないため当院ではなるべく遠方の方にも対応できるようアナウンスしている次第です。(機器を導入している病院自体が少ないです)
また、細かい作業のため経験がかなり必要になります
歯石除去同様に麻酔が必要ではありますが、耳道内の洗浄を行うことで下記の効果が期待できます
・点耳薬が奥まで届く
・壁の滑り(バイオフィルム)が除去できる
・鼓膜の機能が回復する
・異物や腫瘤がある場合、除去可能(レーザー併用)
・中耳内の確認ができる
特に左右差がある外耳炎の場合、悪い方に何らかの原因が隠れている可能性が高いので、気になる方はご相談ください。
春のDM本日発送しました!
- ブログ
2023年04月05日(水)
こんにちは
徐々に暖かくなってきましたが皆様はいかがお過ごしでしょうか?
当院では、この1ヶ月、春のDM作成に追われておりました・・毎年のことではありますが・・。
本日、ついに発送いたしました!
皆様のご自宅には数日で届くと思われます。
お手紙をご確認の上、ご都合の良い時期に来院してください。
これからの時期は、混雑しますのでお時間に余裕を持っていらしていただけると助かります。
皆様にお会いできるのを楽しみにしています!
ポプラ動物病院
スタッフ一同
徐々に暖かくなってきましたが皆様はいかがお過ごしでしょうか?
当院では、この1ヶ月、春のDM作成に追われておりました・・毎年のことではありますが・・。
本日、ついに発送いたしました!
皆様のご自宅には数日で届くと思われます。
お手紙をご確認の上、ご都合の良い時期に来院してください。
これからの時期は、混雑しますのでお時間に余裕を持っていらしていただけると助かります。
皆様にお会いできるのを楽しみにしています!
ポプラ動物病院
スタッフ一同